It’s been nine weeks and two days since I was carrying our new (at the time) Wheaten terrier puppy Win-Win in the dark at 3 a.m., tripped on a chair and fell hard on our laminate floor, fracturing my right femur (thigh bone). Physical therapy continues to go smoothly and, after gradual weaning, I ditched my walker about a week ago – at the same time I started driving short distances with, thankfully, no problems.
I’m still having some pain, especially when I stand up and start walking, but it’s not too bad. I also can’t really cross that leg or pull a sock/shoe on without pain while maneuvering the leg to do so, but I know that will subside soon. The main hiccup I’ve had in my rehab lately is that my looooongtime low-back pain flared up a couple of weeks ago, making it more difficult to do my therapy exercises, especially at home.
But overall, I’m happy with the progress I’ve made, and when I saw my surgeon about 10 days ago he said I was ahead of schedule – especially for my age, lol. I’m still working full time from home but hope to get back to the office with my UT Southwestern Medical Center colleagues sometime in July (we only work in the office 2 days a week anyway).
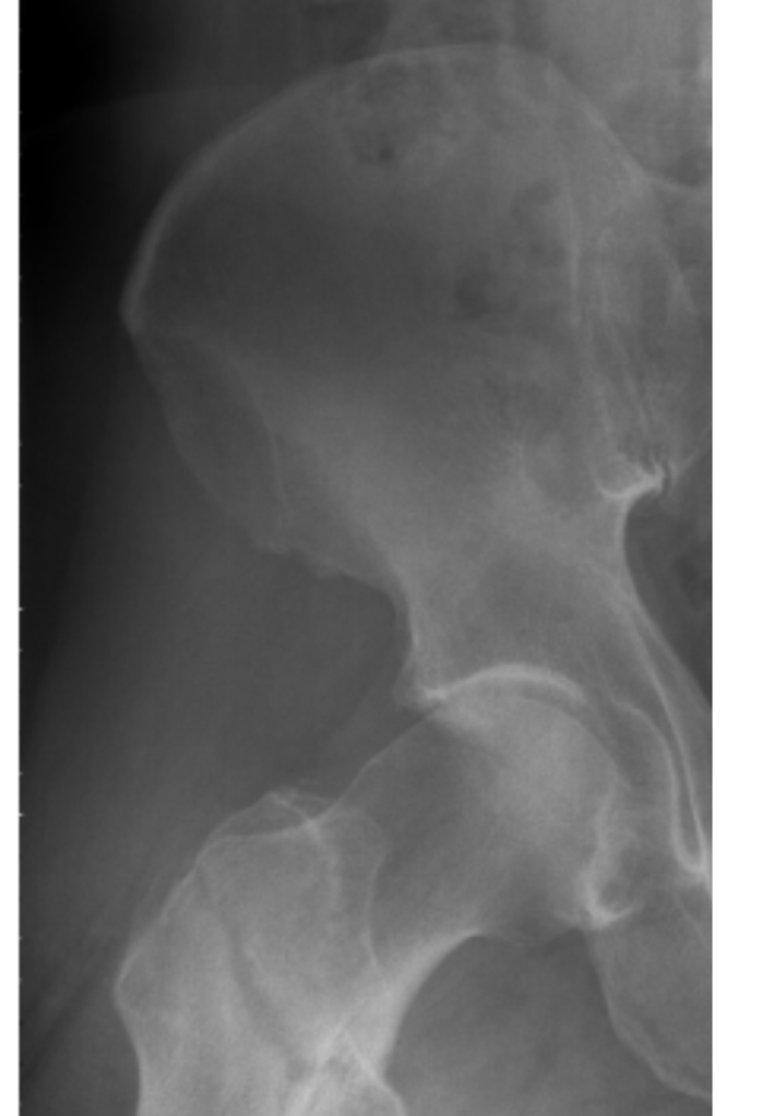
Kay and I recently went back to Methodist Mansfield Hospital, where the paramedics took me after my fall and where I had my surgery and spent 4 days. We picked up the X-rays I had taken in the ER during the predawn hours of Friday, April 26. Aside from a sketch my surgeon drew on the whiteboard of my hospital room to show me the complete break of my femur, I hadn’t seen actual presurgery images.

If you look at the lower left area of the X-ray above, you can clearly see the fracture. In the image below, it’s just right of center. When I finally glimpsed these – even though I knew I’d broken the bone all the way through – it was still surreal to take in. After all, we’re talking about the strongest bone in our bodies, so for me to sustain a total break means I came down on my leg/hip area crazy hard. I’m extremely fortunate I didn’t also break my hip, since the femur fracture was so close to it.

I was initially thinking I’d been holding Win-Win with both arms, but when I replayed it all in my mind later, I realized I had her cradled against my chest with my right arm. It all happened so fast that I don’t think I really had time to put my left hand/arm down to brace our fall, and that probably wouldn’t have helped reduce the impact of my right side on the hard laminate floor anyway.
When I saw my surgeon recently, I had another set of X-rays taken that showed the bone is healing great. It takes about 3 months for bone to fully heal, so I probably have almost another month to go.
Thank you all for your support and care on this journey. My first broken bone in 63 years has been an adventure, but with Kay taking such wonderful care of me, great physical therapists and my dedication to recuperation, most of the bumps along the way have been bearable.
![]()